Clinical Case Reports – 1970 by P. Syamasundar Rao in Journal of Clinical Case Reports Medical Images and Health Sciences


Clinical Case Reports – 1970 by P. Syamasundar Rao in Journal of Clinical Case Reports Medical Images and Health Sciences 

Abstract

In this paper five case reports were presented and include congenital pulmonary cyst, Wilson-Mikity syndrome, diaphragmatic eventration; foreign body in the bronchus, and cor pulmonale that developed after implantation of a ventriculo-atrial shunt with a Pudenz-Heyer valve for treatment of hydrocephalus. For each case report, clinical, chest x-ray, electrocardiogram and other pertinent findings were presented. This was followed by discussion of etiology, diagnosis, and treatment options, as appropriate.

Keywords: congenital pulmonary cyst; diaphragmatic eventration; Wilson-Mikity syndrome; foreign body in the bronchus; cor pulmonale

Introduction

During the academic clinical practice for over five decades, the author had the unique opportunity to observe and document many interesting clinical case scenarios. The purpose of this review is to revisit these interesting cases. Because of the voluminous amount of this material, the material may be divided into a five-part series. Each of these case reports, while rare and important clinical observations, do demonstrate a clinical point that is useful to the pediatricians, pediatric cardiologists and/or other physicians.

Congenital Pulmonary Cyst

Case Report

A female infant with a birth weight of  6 lb 7 oz, born after a full-term, normal pregnancy and delivery with an Apgar score of 9 presented at three weeks of age with a two-week history of tachypnea. There were no other symptoms and the infant’s physical examination was normal except for tachypnea (respiratory rate of 50 per minute) and mild inter-costal and sub costal retractions. A chest roentgenogram was obtained (Figure 1) which was interpreted as pulmonary cyst. The heart was pushed to the right by the cyst (dextroposition of the heart). At thoracotomy, a huge lung cyst, involving the lower lobe of the left lung, was found, and was resected and the patient made an uneventful recovery.

Congenital pulmonary cysts in the neonate are uncommon and are considered as errors in embryological development. They are of several categories namely, bronchogenic cell, alveolar cell, and combined cell types, based on the cellular component of the cell wall of the cyst. The symptoms depend largely upon the size of the cyst. These patients may not be discovered until a chest x-ray is performed for other reasons or may present with symptoms of tachypnea, dyspnea, and cyanosis in the neonatal period secondary to compression of lung tissue. The findings depend upon the size and location of the cyst. Dextroposition of the heart or tracheal shift and hyper-resonance, diminished breath sounds, and rales may be detected on physical examination. The chest x-ray findings may demonstrate a cyst, as in our case (Figure 1) or may be misinterpreted as pneumothorax. Other conditions simulating the cyst are staphylococcal pneumonia, diaphragmatic hernia, congenital lobar emphysema, sequestrated lobe, and hydro-pneumothorax or pyo-pneumothorax. In symptomatic cases, cystectomy, segmentectomy, lobectomy, or pneumonectomy, depending upon the size and location of the cyst is suggested. Percutaneous aspiration of the cyst is not recommended except as an emergency measure to relieve the tension. Some authorities advocate no surgical intervention because of the possibility of spontaneous regression of the pulmonary cysts, but most authorities recommend surgical excision of the cysts [1].

Late Respiratory Distress in a Premature Infant

Case Report

A premature male infant was born at 25 weeks of gestation and weighed 2 lb 12 oz at birth. Abruptio placenta and prolapse of the umbilical cord complicated the delivery and required resuscitation with oxygen. The chest x-ray was normal at that time. The baby was placed in an incubator in 35 percent oxygen, which was discontinued within 24 hours. At the age of 31 days, tachypnea and recurrent apnea with cyanosis developed. Auscultation revealed bilateral rales in the chest, again necessitating resuscitation with O2, administered by bag and mask. Chest x-ray (Figure 2) revealed a diffuse parenchymal reticular pattern with multifocal areas of radiolucency. This roentgenographic pattern, along with the clinical findings, is essentially diagnostic of the Wilson-Mikity syndrome.

Discussion

Wilson an Mikity originally described this condition in 1960, and is now called Wilson-Mikity syndrome.2 The etiology is not clearly understood but is considered to be due to pulmonary dysmaturity with uneven postnatal development of pulmonary alveoli in the premature infants.2 No consistent relationship with O2 therapy has been established. Bronchopulmonary dysplasia is another condition seen in the neonatal period and should be distinguished from Wilson-Mikity syndrome. The cystic appearance on the chest x-ray in the third stage of bronchopulmonary dysplasia resemble those of Wilson-Mikity syndrome; however, it follows treatment of severe hyaline membrane disease with high concentrations of O2 and artificial ventilation.2 The clinical presentation of Wilson-Mikity syndrome is characteristic in that the infant is premature with minimal or no respiratory distress at birth but, develops progressive respiratory distress, with dyspnea, tachypnea, cough, cyanosis, and rales in a few days to weeks. Diffuse reticular pattern of both lungs with areas of multifocal radiolucency are usually seen, similar to those seen in figure 2. Progressive pulmonary insufficiency with signs of right heart failure develop in patients with fatal outcome. But, about half of the patients eventually recover from their pulmonary disease. Pulmonary function studies are abnormal with decreased lung compliance, increased expiratory flow resistance, and increased breathing effort. Respiratory acidosis develops in spite of increased minute volume. Arterial O2 desaturation is thought to be secondary to intrapulmonary right-to-left shunting.2 The treatment is largely supportive [2].

Fever, Vomiting and Dome-Shaped Density in Right Thorax

Case Report

A four-month-old boy presented with a history of fever, poor feeding, vomiting, and slight cough for two days. Past history is essentially normal except for an Apgar score of 6 at birth. Breath sounds were diminished at the right base. Laboratory studies were normal. Chest x-ray (Figure 3) was performed which revealed a dome-shaped density in the right thorax which did not coincide with any pulmonary lobe or segment. The elevation of the inferior liver margin in the abdomen indicated that the abnormal shadow was liver. Based on these findings eventration of the right hemi-diaphragm was suspected. To confirm the diagnosis, a diagnostic pneumoperitonium was performed (Figure 4) which confirmed the diagnosis.

Discussion

Eventration of the diaphragm is classified into adult and infantile types [3]. It is generally thought to be the result of congenital mal-development of the diaphragmatic musculature. However, such an abnormality may occasionally be caused by phrenic nerve injury during birth. The true incidence of eventration is not known, but in mass x-ray surveys of adults, it was found to be one in 10,000 [3]. Total eventration is thought to be more common on the left side and partial eventration on the right [3].

Clinical findings largely depend on the extent of eventration. There may be no symptoms or the patient may present with dyspnea, tachypnea, and cyanosis in the newborn period, requiring immediate treatment. Seesaw cyclic motions of the epigastrium with respiration and Hoover's sign (uninhibited divergence of costal margin from midline on inspiration), if present, are helpful in making the diagnosis. Percussion on the affected side may be dull or tympanic depending on the organs migrated under the diaphragm.

Fluoroscopy and chest x-rays are generally useful in arriving at the diagnosis. In right-sided eventrations, the lesser amount of liver shadow in the abdomen, i.e., elevation of the inferior margin of the liver helps to distinguish eventration from the other conditions [3]. Diagnostic pneumoperitonium is likely to establish the diagnosis, but the current availability of ultrasound technology, diagnostic pneumoperitoneum may not be necessary at the present time.

Symptomatic newborns with diaphragmatic eventration should be treated surgically; plication of the eventrated diaphragm is successful in relieving the symptoms with good long-term results. Some authorities suggest that asymptomatic patients also should be addressed surgically [3].

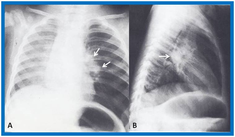
Foreign Body (Peanut) in The Left Main Stem Bronchus

Case Report

A 13-month-old girl with a history of poor appetite, loss of weight, cough, and intermittent low grade fever was admitted to the hospital for evaluation and treatment. No history of choking episodes was elicited. History revealed that a relative who had active pulmonary tuberculosis lived with the infant's family for a short period of time four months prior to the current admission. Because of this reason, the local health department performed tuberculin skin test which was positive and treatment with isoniazid was initiated. On examination her weight and height were between the third and tenth percentile. Decreased breath sounds on auscultation and hyper tympanic note on percussion were noted over the left side of the chest.

Intermediate strength purified protein derivative (PPD) was positive. Chest roentgenograms were obtained (Figure 5). Based on the history, physical examination, and chest x-ray findings, a diagnosis of endobronchial tuberculosis was entertained. However, prior to beginning treatment, bronchoscopy was performed to appraise the extent of airway encroachment.

Discussion

Autoimmune encephalitis is a condition that can be easily missed as it is not commonly considered in the differential diagnosis of various medical presentations. However, such diagnosis should be always taken into consideration when a person, particularly a child, presents with a new onset of refractory status epilepticus (NORSE) and/or new behavioral or psychiatric conditions. An early diagnosis of AE is essential, as the treatment is different from other conditions. With correct timely interventions the outcome is frequently favorable.

Though SARS-Cov-2 virus rarely invades the nervous system, Covid-19 infection frequently causes neurological symptoms like headache, delirium, anosmia, and dysgeusia [14]. One of the mechanisms of indirect nervous system involvement is through inflammatory response and immune dysregulation. There are few recorded cases of indirect involvement of CNS by auto-antibodies that are directed against the surface and synaptic protein. This case is one of the rare cases of Anti NMDA antibody autoimmune encephalitis that is associated with Covid-19 infection [15]. It indicates that in the era of COVID-19, high vigilance is required as a possible association may increase AE incidence.

A recent systemic review that analyzed 16 studies, including a total of 161 patients with NORSE [16], showed that the most frequent cause was AE. In addition to the well-known association with teratoma and cancer, AE, and specifically Anti-NMDA receptor Ab encephalitis, could be associated with a SARS‑CoV‑2 infection, either concomitantly or as post-infection manifestation. In this reported case, immunotherapy, in addition to anti-seizure medication, showed to be effective.

The main limitation of this report is the relatively short follow-up period. Observation of the child is ongoing to detect possible medium- or long-term consequences.

nfant with poor appetite, loss of weight, and fever is suggestive of primary tuberculosis. This is particularly so given the patient's exposure to a subject with active pulmonary tuberculosis. The x-rays show hyper aeration of the left lung with a shift of the heart and mediastinum to the right. The left leaf of the diaphragm is also flattened. While there are no areas of infiltration or consolidation were seen, prominent shadows suggesting enlarged lymph nodes were seen (arrows in figure 5). Endobronchial tuberculosis with compression of the bronchus by adenopathy may produce changes seen figure 5.

Discussion

Even though there was no history of choking or aspiration, the possibility of foreign body aspiration should be considered in this age group. Consequently, bronchoscopy was performed which revealed a peanut in the left main stem bronchus and was extracted during bronchoscopy. The peanut and the adjacent edema of the bronchus caused partial bronchial obstruction and acted as a check valve, so the air entered the left lung but, unable to leave the left lung since the bronchus becomes smaller during expiration, producing the roentgenographic appearance shown in figure 5. The baby improved and the treatment with isoniazid was continued because of the positive PPD.

Cor Pulmonale as a Complication of Ventriculoatrial Shunts

Introduction

Cerebral ventricle-to-right atrial shunts with Pudenz-Heyer or Spitz-Holter valves were widely used to treat hydrocephalus in the 1960s. Development of pulmonary hypertension with chronic cor pulmonale is rare with these shunts. We reported a patient who developed such a complication along with description of specialized pulmonary function studies in the early detection of such complication [5].

Case Report

An 11-year-old white boy was hospitalized in April 1969 with a history of progressive weakness, dyspnea, and pedal edema. He was diagnosed to have hydrocephalus and had a ventriculo-atrial shunt with a Pudenz-Heyer valve implanted at the age of 6 months. The shunt was thought to be functioning well when he was evaluated at the age of 2 years. He was asymptomatic until he was 9.5 years old, when he developed signs of congestive heart failure (CHF) and was treated at another hospital with digitalis and diuretics with some improvement. Right heart catheterization at the same institution revealed a mean right atrial pressure of 35 mmHg and right atrial angiography revealed slow emptying of the contrast, filling defects on the right lateral atrial wall and in the right and left pulmonary arteries. The ventriculo-atrial shunt was removed shortly thereafter. The patient was referred to our group for further evaluation and management [5].

Pertinent findings on examination included height and weight below the third percentile, head circumference above the 97th percentile, pretibial edema, prominent “a” wave in the left side of the neck, no venous pulsations on the right side, palpable right ventricular heave, markedly accentuated single second heart sound, an audible fourth heart sound at left lower sternal border, a Grade I/VI ejection systolic murmur at the mid-left sternal border, liver edge palpable 5 cm below the right costal margin, clear lung fields on auscultation, and normal neurological examination.

Electrocardiogram (ECG) (Figure 6) and the vectorcardiogram (not shown) revealed right atrial and ventricular hypertrophy. Chest roentgenogram (Figure 7) showed moderate cardiomegaly and prominent main pulmonary artery (PA) segment and clear lung fields. Lung scan with 131I-labeled macro-aggregated albumin was suggestive of multiple pulmonary emboli. Blood gas analysis showed pH 7.56; PaO2 80 mmHg, PaCO2 23 mmHg and bicarbonate 24 mEq/liter. Routine pulmonary function studies revealed restrictive lung disease. The ratio of wasted ventilatory volume (physiological dead space) to tidal volume (VD:VT) using Bohr's equation was 0.58 (normal 0.3 or less).

Vigorous treatment with digitalis and diuretics resulted in only temporary relief. During the next year, he continued to deteriorate and died of intractable right ventricular failure. Postmortem revealed right atrial thrombosis, severe right ventricular hypertrophy, multiple thrombo-emboli in the large and medium-sized pulmonary arteries, and intimal proliferation of the pulmonary arterioles.

Discussion

The case presented demonstrated development of cor pulmonale secondary to pulmonary thrombo-embolism which was produced by thrombi that arose following a ventriculo-atrial shunt with a Pudenz-Heyer valve for treatment of hydrocephalus. The causes of thrombo-embolic complications were not well understood, but the hypotheses, as reviewed by us [5], include infection, periarteritis due to autoimmune reaction of the pulmonary vessels to protein of cerebrospinal fluid, release of brain thromboplastin resulting in thrombosis at the point of contact with plasma coagulation factors, and simply the presence of a foreign body in the cardiovascular system for prolonged periods of time.

Early detection of pulmonary hypertension by periodic (every six months) evaluation by chest x-ray and ECG studies was suggested by some investigators, but early detection of pulmonary hypertension is of limited value since obstruction of 60% of the pulmonary vascular bed occurs by the time pulmonary hypertension develops [5]. Detection of multiple filling defects on radioisotope scanning in a child with a ventriculo-atrial shunt would be suggestive of pulmonary embolization and might be useful in early identification. Based on the observations of Nadel and associates [6] and those of ours [5], we suggested that specialized pulmonary function studies such as VD:VT, pulmonary diffusing capacity, pulmonary capillary blood volume, blood gas, and pH be performed periodically to detect obstruction of pulmonary vasculature prior to the development of pulmonary hypertension and cor pulmonale [5]. However, it should be noted that ventriculo-atrial shunts are no longer performed to treat hydrocephalus, but instead ventriculo-peritoneal shunts are used at the present time.

In summary, a rare case of pulmonary thrombo-embolism with resultant pulmonary hypertension and cor pulmonale following ventriculo-atrial shunt for hydrocephalus was presented with the recommendation to use of special pulmonary function studies for early detection and if found to be positive, immediate removal of the shunt system may eliminate further embolization into the lungs and prevent irreversible pulmonary vascular disease.

For More Information:JCRMHS


Comments

Popular posts from this blog

Acute Abdomen due to Congenital Transmesenteric Internal Hernia in a 12-Year-Old Patient: Case Report San Juan De Dios General Hospital, Guatemala February 2022 by Dr. Gaby Ajcip in https://jmedcasereportsimages.org/

A Rare Case of Supraclavıcular Regıon: Branchıoma (Ectopıc Cervıcal Thymoma) BY Nihal Seden Boyoğlu IN Journal of Clinical Case Reports Medical Images and Health Sciences

Pneumorrhachis and Pneumocephalus Following Epidural Analgesia: Case Report and Systematic Review by Yi Zhang, MD in Journal of Clinical Case Reports Medical Images and Health Sciences